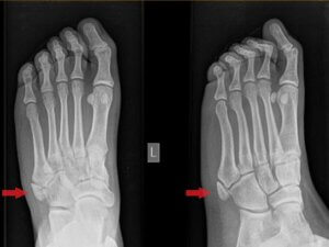
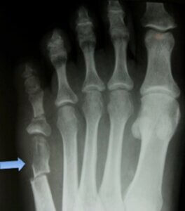
متاتارسال پنجم، استخوانی کشیده در لبه خارجی پا است که به انگشت کوچک متصل شده و شکستگی آن مشکلی رایج به شمار می رود. شکستگی این استخوان پنجم چقدر طول می کشد تا بهبود یابد؟ شکستگی متاتارس پنجم اغلب در 6 تا 8 هفته بهبود می یابد، فرقی نمی کند، درمان از طریق جراحی یا گچ گرفتن انجام شود. اغلب شکستگی متاتارس به دو صورت ذیل است:
در این نوع شکستگی بخش کوچکی از استخوان به وسیله یک تاندون یا رباط از کل استخوان جدا می شود. شکستگی جدا شدگی در اثر آسیب ناشی از پیچ خوردگی مچ پا به وجود می آید. شکستگی های جدا شدگی اغلب در هنگام بروز پیچ خوردگی مچ پا نادیده گرفته می شوند.

شکستگی جونز در ناحیه کوچکی از استخوان متاتارسال پنجم رخ داده که به دلیل دریافت خون کمتر در معرض مشکلات التیامی قرار دارد. شکستگی جونز می تواند در اثر یک شکستگی فرسایشی (استرسی) یا شکستگی های حاد و ناگهانی به وجود آید. این نوع شکستگی در اثر استفاده بیش از حد، استرس مداوم یا ضربه پدیدار می شود. شکستگی های جونز شیوع کمتری داشته و درمان آن ها نسبت به نوع دیگر دشوار تر است. ناگفته نماند که دیگر انواع شکستگی ها نیز می توانند در استخوان یاد شده بروز داده و شکستگی نیم تنه، سر و گردن استخوان از جمله آن ها هستند.
شکستگی های جونز و جدا شدگی علائم یکسانی دارند که شامل موارد زیر می شوند:
شکستگی جونز اغلب در هنگام پیچ خوردگی مچ پا به وجود می آید. شکستگی های استرسی نیز در هنگام افزایش ناگهانی فعالیت پر آسیب پدیدار می شوند.
آیا می توانید روی شکستگی متاتارس 5 راه بروید؟ شکستگی در پای شما برای راه رفتن دردناک خواهد بود. ممکن است با شکستگی متاتارس پنجم بتوانید به آرامی راه بروید، اما شکستگی برای بهبودی مناسب نیاز به بی حرکتی دارد.
تمامی افرادی که علائم شکستگی استخوان متاتارسال پنجم را تجربه می کنند باید هر چه سریع تر جهت دریافت تشخیص و درمان مناسب به جراح ارتوپد مراجعه نمایند. جراح جهت تشخیص مناسب مشکل نحوه بروز آسیب یا زمان شروع درد را از بیمار سوال می کند. پزشک با فشار دادن آرام بر نواحی مختلف پای مبتلا را معاینه، محل درد را مشخص و انجام تصویر برداری اشعه ایکس را تجویز می کند.

از آن جایی که شکستگی جونز گاهی اوقات در تصویر برداری های اولیه مشخص نمی شود امکان دارد دیگر آزمایش های تصویر برداری نیز برای فرد تجویز شوند. شکستگی جونز معمولا در تصاویر اشعه ایکس پای آسیب دیده نمایان است. در صورت عدم مشاهده شکستگی در تصویر برداری با اشعه ایکس، تصویر برداری با امواج مغناطیسی (MRI) مفید خواهد بود. آزمایش سی تی اسکن برای سنجش التیام شکستگی ها به کار گرفته می شود.
جراح ارتوپد ممکن است درمان شکستگی جونز را با روش های غیر جراحی پیشنهاد دهد. این روش ها شامل یک دوره بی تحرکی و اجتناب از اعمال فشار بر پای مبتلا خواهند بود. مطالعات نشان داده اند که برخی از این آسیب ها موفق به التیام نمی شوند. در صورتی که تصاویر اشعه ایکس التیام را پس از مدت 6 هفته نشان ندهند، درمان های جراحی در نظر گرفته خواهند شد. جراحی اغلب برای شکستگی های جونز در ورزشکاران حرفه ای یا غیر پاسخگو به درمان های غیر جراحی انجام می شود. در حین جراحی، جراح ارتوپد جهت بی حرکت کردن شکستگی در زمان التیام یک پیچ را به آن وارد می کند.
تا زمان مراجعه به پزشک می توان از روش رایس (RICE) برای کنترل علائم و درد خود استفاده کرد. این روش به شرح زیر است:
استراحت: از قرار دادن وزن بر روی پای مبتلا اجتناب کنید. راه رفتن بر روی این پا می تواند آسیب را تشدید کند.
اعمال یخ: یک حوله نازک را بر روی پا انداخته و یک بسته یخ را بر روی آن اعمال کنید. بسته یخ را به مدت 20 دقیقه نگه داشته و قبل از اعمال مجدد حداقل 40 دقیقه صبر کنید.
کمپرس: جهت کنترل تورم یک نوار پلاستیکی را به دور پای خود بپیچانید.
بالا بردن پا: جهت کاهش تورم بهتر است پا مقداری از سطح قلب بالا تر باشد.
جراح می تواند یکی از گزینه های غیر جراحی زیر را برای درمان شکستگی استخوان متاتارسال پنجم پیشنهاد دهد:
بسته به شدت آسیب، پا در یک قالب گچی، کفش قالبی یا کفش دارای کف محکم ثابت و بی حرکت می شود. همچنین، امکان دارد جهت اجتناب از اعمال فشار بر پای آسیب دیده به کراچ یا عصای زیر بغل نیاز باشد.
در این روش با استفاده از یک دستگاه خارجی، بدون ایجاد درد سرعت التیام برخی شکستگی ها افزایش می یابد. تحریک استخوانی که اغلب برای شکستگی های جونز به کار می رود می تواند به عنوان بخشی از درمان یا پس از پاسخ مناسب بدن به بی حرکتی استخوانی استفاده شود.
طول دوره بهبودی بدون جراحی در حدود 8 هفته است. برخی بیماران پس از التیام استخوان جهت احیای قدرت و حرکت خود به فیزیوتراپی نیاز دارند.
در صورتی که آسیب سبب جا به جایی استخوان، شکستگی های متعدد و التیام ناکافی شود انجام فرایند جراحی نیاز است. جراح ارتوپد فرایندی را تعیین می کند که بهترین گزینه برای بیمار است.
تمام فرایند های جراحی با عوارض احتمالی از جمله خطرات مرتبط با بیهوشی، عفونت، آسیب به اعصاب و عروق خونی، خونریزی و تشکیل لخته مرتبط هستند. گاهی اوقات، التیام استخوان بیش از 8 هفته طول می کشد. در صورت بروز این پدیده، انجام جراحی یا تحریک استخوانی جهت کمک به التیام استخوان پیشنهاد می شود. در برخی موارد نادر، این شکستگی التیام نیافته و پیچ می شکند که در این صورت جراحی تکرار خواهد شد. شکستگی های جونز دارای خطر بالای شکستگی دوباره هستند که این پدیده در درمان های غیر جراحی رواج بیشتری دارد.

ورزشکاران معمولا پس از حدود 8 هفته می توانند به فعالیت های ورزشی خود بازگردند. تمرینات ورزشی و درمان های فیزیوتراپی در این فرایند مفید خواهند بود. برخی بیماران مخصوصا ورزشکارانی که بر سطوح سفتی همچون چمن مصنوعی فعالیت دارند باید از وسایل مخصوصی همچون پا بند استفاده کنند.
بله افراد می توانند جراحی را به تاخیر اندازند. با این حال، به تاخیر انداختن جراحی می تواند آن را با دشواری بیشتری همراه سازد.
خیر، جهت از سر گیری فعالیت ها نیازی به خارج کردن ابزار به کار رفته در استخوان نیست. با این حال، در صورتی که سر پیچ یا ابزار برجسته بوده و در تماس با کفش دچار اصطکاک شود، باید آن را خارج کرد.